 
			Após ingerir 100 ímãs, menino perde parte do intestino
29 de outubro de 2025Garoto teria comprado materiais pela internet
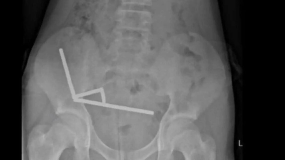
Um garoto de apenas 13 anos perdeu parte do intestino após ingerir 100 ímãs. O caso aconteceu na Nova Zelândia. Segundo a publicação no jornal do país New Zealand Medical Journal, o garoto teria ingerido entre 80 e 100 ímãs, uma semana antes.
100 ímãs
De acordo com o menino, ele mesmo teria comprado os ímãs pela internet, de um site internacional. Os materiais ingeridos eram compostos por neodímio – extremamente magnético – e mediam cerca de cinco por dois milímetros.
Perdeu parte do intestino
O adolescente foi internado, após quatro dias de dores abdominais, e teve de passar por uma cirurgia de emergência. Os exames feitos antes da cirurgia mostravam correntes de ímãs em partes do intestino, ligadas pela força magnética. Tal ligação resultou em um necrose por conta da pressão, e quase houve uma perfuração intestinal. Na operação foram encontradas quatro áreas necrosadas, e parte do intestino do menino teve de ser retirado.
Pós-operação
Depois de oito dias internado, o garoto recebeu alta do hospital. Mas os especialistas alertaram que apesar do tratamento ainda há risco de obstruções intestinais e dores crônicas no futuro.
 
		

 Podemos ajudar?
                Podemos ajudar?